Стаж более
17 лет
Центр имплантации и протезированияРаботаем с 2013 годаКлиника №1
в Тюмени
в Тюмени
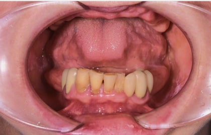
Зубы за 1 день за 7 999р. в месяц
с пожизненной гарантией
с пожизненной гарантией
Опытными специалистами
Стаж от 17 лет
Стаж от 17 лет
По уникальной методике
БЕЗ отёков и надрезов
БЕЗ отёков и надрезов
Установка
за 1 день
за 1 день























